إنقاذ حياة شاب مشتبه إصابته بـ # كورونا في #الطائف

الأحد ١١ ديسمبر ٢٠١٦ الساعة ٣:٢١ مساءً
إنقاذ حياة شاب مشتبه إصابته بـ # كورونا في #الطائف

المواطن ـ فيصل الزيادي ـ الطائف

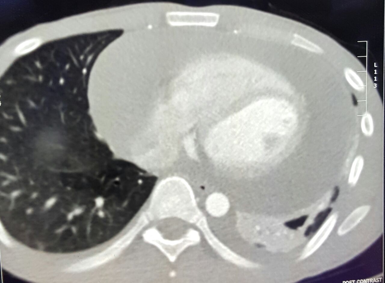
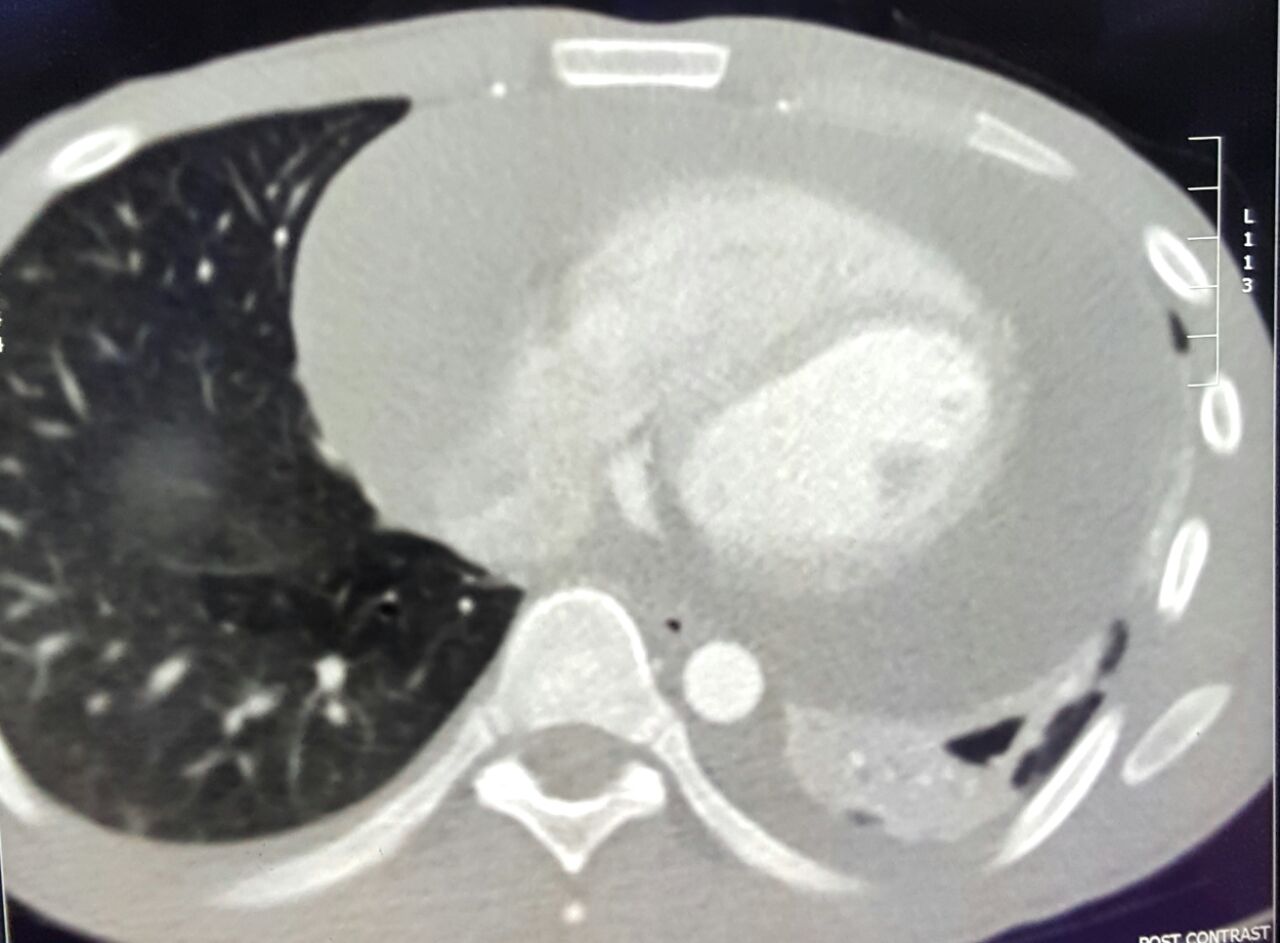
أنقذ فريق طبي من قسم جراحة الصدر، بصحة الطائف، شابًا سعوديًا تعرّض لتقيُّحٍ شديد بالصدر بعد الاشتباه بإصابته بفيروس كورونا.
وقال استشاري جراحة المناظير والصدر بمستشفى الملك عبد العزيز التخصصي بالطائف، وعضو هيئة التدريس بكلية الطب بجامعة الطائف، الدكتور محمد عيد محفوظ، إن المريض أُدخِل من قبل الأخصائي المناوب بمجمع الملك فيصل بالطائف، وأودع العزل نتيجة الاشتباه بإصابته بفيروس كورونا، وأظهرت الفحوصات وجود تقيُّح شديد ومتعدّد بالصدر، مع التهاباتٍ والتصاقاتٍ شديدية بالرئة اليمنى، وضيقٍ بالتنفس، مع ارتفاعٍ بدرجة الحرارة، وأعراض تسمُّم بالدم.
وأضاف أنه تم التعامل فورًا مع الحالة، وخضع المريض لمنظارٍ جراحي متقدم عن طريق فتحتين تم من خلالهما تنظيف الصدر، وتحرير الرئة اليمنى من الالتصاقات وتجمّعات القيح حولها، وعمل الغسيل اللازم للصدر، مع وضع أنابيب تروية صدرية.
كما أضاف أنه تمت مراعاة جميع إجراءات وسياسات مكافحة العدوى المعتمدة في هذه العملية، حيث يعتبر المجمع أحد أفضل المراكز بالعالم في هذا المجال، كما تمت إجراء العملية بالمنظار مما ساعد في سرعة تعافي المريض -ولله الحمد- والتقليل من فرص انتشار العدوى.
وشكر الدكتور محفوظ رئيس أقسام الجراحة بالمجمع، الدكتور علي الزهراني، للتعاون البنّاء بين التخصصي والمجمع لخدمة المريض، كما توجه بالشكر لمساعده بالعملية، الدكتور جاسر علي، وفريق التخدير والعمليات بمجمع الملك فيصل الطبي.
IMG_4631[1] IMG_4634[1] IMG_4633[1] IMG_4632[1]

إقرأ المزيد