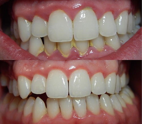
انتفاخ اللثة حول الضرس

الخميس ٢٩ أكتوبر ٢٠٢٠ الساعة ١٠:٣٣ مساءً
انتفاخ اللثة حول الضرس

انتفاخ اللثة حول الضرس

نتيجة لنمو البكتيريا يحدث أن يتعرض الشخص لالتهاب وانتفاخ اللثة حول الضرس وتتنوع الأسباب التي تؤدي لانتفاخ ممكن أن يكون بسبب الخراج أو الإصابة بمرض مناعي أو عدم تفريش الاسنان.

حدوث تورم في اللثة حول الضرس

يحدث التهاب اللثة بسبب عدم اهتمام الشخص بتنظيف الضرس أو الأسنان باستخدام معجون الأسنان أو عن طريق المضمضة بالمطهرات التي تقتل البكتريا فيتسبب كل ذلك في حدوث ألم وتهيج اللثة وسيذكر لنا موقع المواطن أسباب تهيج اللثة وكيف يمكن علاجها بالطرق الطبيعية.

ما هي العوامل والأسباب التي أدت إلى حدوث انتفاخ حول الضرس ؟

  • يعتبر من الأعراض التي تؤدي إلى حدوث انتفاخ اللثة حول الضرس الاسباب الآتية:
  • إصابة الشخص بعدوى بكتيرية نتيجة عدم تنظيف الأسنان والعناية بها صباحُا ومساءاً أو نتيجة استخدام فرشاة أسنان خاصة به كان يستخدم فرشة ليست مخصصة له فيحدث أن يصاب الشخص بعدوى بكتيرية.
  • إذا تم إصابة الشخص بمرض الهربس يؤدي إلى ضعف مناعة الشخص وبالتالي حدوث تورم وانتفاخ.
  • يبدأ حدوث التهاب وانتفاخ اللثة حول الضرس مع إصابة الفم بالرائحة الكريهة نتيجة هذا الالتهاب.

أعراض انتفاخ اللثة حول الضرس

  • نتيجة للبكتيريا التي تكون في اللثة وحدوث الالتهاب تكون رائحة الفم كريهة جداً.
  • كذلك يعتبر من أعراض انتفاخ اللثة وتورمها وحدوث التهابات فيها عدم القدرة على القضم والأكل على المنطقة المصابة.
  • ومن أعراض التهاب اللثة حدوث نزيف في اللثة حتى عند تفريش الأسنان تجد أن اللثة تنزف دماء فهذه من أعراض التهاب اللثة.
  • يتسبب الالتهاب الشديد في اللثة إلى أن تبدأ الأسنان في التساقط بسبب شدة البكتريا.
  • ويعتبر أيضًا من أعراض التهاب اللثة وخاصة إذا كان هناك صديد أو خراج عند تناول الطعام تبدأ في الشعور بطعم غريب عند تناول الطعام علامة على وجود بكتريا وخراج.
  • هنا تبدأ اللثة في الانتفاخ والتورم ويتطور الوضع ويؤدي إلى حدوث الصديد الجيبي أو ما يسمى في طب الأسنان بالخراج فيصيب الأسنان بالتورم والانتفاخ.
  • كما أن يتسبب مرض السكر في حدوث انتفاخ اللثة حول الضرس بسبب ضعف المناعة لدى مريض السكري في مقاومة البكتيريا الضارة.
  • كما أن إصابة الشخص بالتوتر والقلق يؤدي إلى الضغط على الضرس والأسنان أثناء النوم مما يتسبب في تورم اللثة وانتفاخها.
  • نقص المناعة لدى الشخص والعوامل الوراثية التي تؤدي إلى ضعف الأسنان تؤدي إلى حدوث التهابات في اللثة بصفة دورية وحدوث انتفاخ اللثة حول الضرس.
  • كما أن إذا كان الشخص من المدخنين فيؤدي إلى حدوث انتفاخ وتورم حول اللثة بصورة دائمة.
  • كما أن مرض الإيدز هو مرض نقص المناعة وبالتالي عدم وجود مناعة في قتل البكتريا الضارة لذلك تجد أن مريض الإيدز دائمًا يتعرض لألم الأسنان.
  • كثرة تناول الأطعمة التي تحتوي على نسبة سكر عالية أو نسبة أملاح عالية تؤدي إلى ضعف في الأنسجة اللثة ودائمًا ما يصاب بالتهاب وتورم اللثة وانتفاخ اللثة حول الضرس.
  • كذلك كما لخيط الأسنان ميزة في تنظيف الأسنان من الطعام له عيوب بأن من الممكن مع استخدامه للأسنان بطريقة خاطئة يؤدي إلى جرح اللثة وحدوث النزيف والبكتريا مما يتسبب في التهاب اللثة وتورمها.
  • عدم تنظيف الأسنان جيداً ووجود بقايا الطعام في الأسنان يعمل على انتشار التسوس في الأسنان ويتسبب في تهيج اللثة.
  • هناك بعض الأدوية التي تتسبب في التأثير على اللثة وحدوث تورم فيها مثل أن يكون الشخص مصاب بالسرطان والعلاج الخاص بالسرطان يكون من أعراضه حدوث الانتفاخ في اللثة كذلك أدوية علاج الضغط العالي والأدوية التي تمنع الحمل تساعد في حدوث تورم في اللثة كعرض من أعراضها الجانبية.
  • كما أن اضطراب الهرمونات نتيجة الحمل أو نتيجة البلوغ ممكن أن يؤدي إلى التأثير على اللثة وتورمها.

طريقة علاج انتفاخ اللثة

  • لابد من ان تلتزم بزيارة الطبيب حتى لو لم يكن هناك تعب أو أي شكوي لأن تعب الأسنان يظهر فجأة.
  • زيارة الطبيب وإزالة الجير الذي يتسبب في التهاب اللثة وحدوث الجيوب في اللثة يؤدي إلى علاجها ومنع أي تورمات وانتفاخ اللثة حول الضرس.
  • أحيانًا يعمل ترميم الأسنان إلى حدوث التهاب بسبب أن الترميم لا يتلاءم مع اللثة ولذلك لابد من اختيار ترميم مناسب للأسنان واللثة.

علاجات طبيعية منزلية لعلاج انتفاخ وتورم اللثة

استخدام المضمضة بالملح والماء

  • يعتبر مزيج الملح والماء حيث تعتبر وضع ربع معلقة ملح على فنجان ماء دافئ والمضمضة به علاج فعال في علاج التهاب اللثة والتورمات التي تحدث فيه.
  • فهو يساعد على قتل البكتريا والميكروبات الموجودة بالفم.
  • يستخدم أيضًا هذا الخليط في علاج التقرحات التي تظهر في الفم ويستخدم كمطهر للثة والفم.
  • إذا رغبت في استخدامه يمكنك المضمضة من أربع إلى خمس مرات إلى أن تشعر بالتحسن.

إستخدام جل الكركم في علاج التهاب اللثة

عند وضع جل الكركم من ثلاث إلى أربع مرات على اللثة فإن يبدأ الجل في امتصاص الإنزيمات التي تعمل على التورم ويخفف من حدة الورم، فهو يمنع من تكاثر البكتريا الضارة.

إستخدام زيت شجرة الشاي في علاج التهاب اللثة وتورمها

يعتبر زيت شجرة الشاي من الزيوت الطبيعية التي تساعد في التخفيف من أعراض اللثة الملتهبة وذلك عند وضع ربع معلقة صغيرة على فنجان مياة دافئة ونقوم بعمل مضمضة يؤدي إلى علاج اللثة على الفور.

إقرأ المزيد