ركيزة للأمن والازدهار.. زيارة رئيس وزراء باكستان تفتح آفاقاً أوسع للشراكة بين الرياض وإسلام آباد
لقطات لهطول أمطار الخير على تبوك
تخريج الدفعة الـ 55 لطلاب وطالبات جامعة الملك عبدالعزيز
سلمان للإغاثة يوزع 24,750 وجبة غذائية ساخنة في قطاع غزة
جامعة القصيم: الدراسة عن بعد.. غدًا
1.5 مليون رحلة شاحنة عبرت شبكة طرق المملكة خلال الربع الأول 2026
فيصل بن فرحان يبحث مستجدات الأوضاع بالمنطقة مع وزير خارجية روسيا
الدولار يتجه لتحقيق أول مكسب في 8 جلسات
سلمان للإغاثة يسلّم 25 طنًا من التمور هدية المملكة لمقدونيا الشمالية
الإحصاء تعلن نتائج الفرق الفائزة في هكاثون الابتكار في البيانات
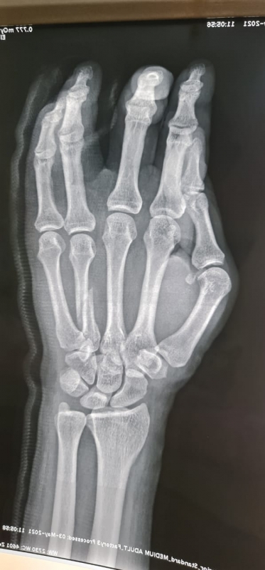
تمكّن فريق طبي متخصص بمستشفى حريملاء العام من إجراء تدخل عاجل وطارئ، للتعامل مع حالة لمواطن سعودي خمسيني مصاب بكسر متزحزح بالمشطية الرابعة لليد اليمنى إثر حادث سقوط.
واستقبل قسم الطوارئ بالمستشفى المصاب حيث تم على الفور تشكيل فريق طبي مكون من أخصائيين قسم جراحة العظام والكسور بالمستشفى، وقام الأطباء على الفور بعمل الإسعافات الأولية وإعطائه المحاليل والمسكنات والمضادات الحيوية، وتم عمل الأشعات العادية والمقطعية، التي أظهرت أن المريض يعاني من كسر متزحزح بالمشطية الرابعة لليد اليمنى ويحتاج تصليح مفتوح للكسر وتثبيت بشريحة ومسامير ذات طابع خاص، فتم نقل المريض إلى غرفة العمليات وإجراء عملية تثبيت بشرائح ومسامير.
الجدير بالذكر، أن هذه العملية تعتبر الأولى من نوعها التي تجرى بمستشفى حريملاء العام وتتمثل في عملية جراحة اليد التخصصية والتجميل.

