الشؤون الإسلامية تُقيم حفل معايدة لضيوف برنامج خادم الحرمين الشريفين للحج
نُسك الحاج في أيام التشريق
أسعار النفط ترتفع أكثر من 3%
الدولار قرب أعلى مستوياته في أسبوع
الدفاعات الجوية الكويتية تتصدى لهجمات صاروخية وطائرات مسيّرة معادية
الأخضر يواصل تدريباته في نيويورك استعدادًا لكأس العالم
طقس أول أيام التشريق.. ارتفاع الحرارة وسحب رعدية ممطرة
نيابة عن خادم الحرمين.. ولي العهد يستقبل في الديوان الملكي بقصر منى المهنئين بعيد الأضحى المبارك
الجوازات تخصص فرقًا ميدانية للتعرف على هويات المنومين والتائهين بمكة المكرمة والمشاعر المقدسة
بتوجيه القيادة.. السعودية تقدم دعمًا عاجلًا لليمن بالمشتقات النفطية بقيمة 150 مليون دولار
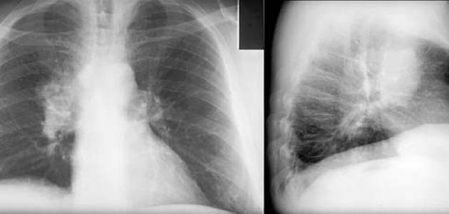
وافقت إدارة الغذاء والدواء الأمريكية، الجمعة، على عقار من إنتاج شركة “أمجين”، لعلاج سرطان الرئة ذي الخلايا غير الصغيرة، المرتبط بطفرة محددة في جين يعرف باسم KRAS لدى المرضى الذين تفاقمت إصابتهم بعد العلاج الكيماوي أو الأدوية الأخرى.
الدواء الذي سيباع تحت الاسم التجاري Lumakras، قلص الأورام المرتبطة بطفرة KRAS، عند حوالي 36 بالمائة من المرضى في التجارب السريرية.
وقالت الشركة: إن تكلفة الدواء الشهرية في الولايات المتحدة ستكون 17900 دولار.
وتم تصميم الدواء لاستهداف طفرة جينية تحدث في حوالي 13 بالمائة من سرطانات الرئة ذات الخلايا غير الصغيرة، وهو النوع الأكثر شيوعا من سرطان الرئة.
وتقدر “أمجين” أن حوالي 25 ألف مريض أمريكي سيكونون مؤهلين للحصول على الدواء سنويًّا.
وقد تم العثور على طفرة KRAS أيضًا في نسبة تتراوح بين 1 و3 بالمائة من سرطانات القولون والمستقيم وغيرها.
الموافقة، التي جاءت قبل أكثر من شهرين من التاريخ المتوقع، تشمل حبة من عيار 960 ملليجرام، يوميًّا، وقد طلبت الوكالة من شركة “أمجين” إجراء دراسة في مرحلة ما بعد الموافقة، لمعرفة مدى فعالية جرعة أصغر.