شاهد.. لحظة تعامد الشمس على الكعبة المشرفة
وفاة 10 طالبات على الأقل في حريق بكينيا
فيصل بن فرحان يستعرض العلاقات الثنائية مع وزير خارجية فرنسا
السعودية تدين وتستنكر بأشد العبارات الهجمات المعادية بصواريخ وطائرات مسيرة على الكويت
رحيل عبدربه منصور هادي.. رجل دولة وشخصية حكيمة أدار اليمن خلال فترة استثنائية
49 حصاة تختصر مشهد رمي الجمرات في منى.. بين التكبير والدعاء
غابات القندل في فرسان.. رحلةٌ بحرية بين الخضرة والماء تستقطب زوار العيد
ضبط مواطن مخالف لاستخدامه حطبًا محليًا في أنشطة تجارية بعسير
المركزي الروسي يرفع سعر صرف الروبل أمام العملات الرئيسة
حاجة سبعينية من السودان تُجسّد معاني البرّ بخدمة والدتها التسعينية في المشاعر
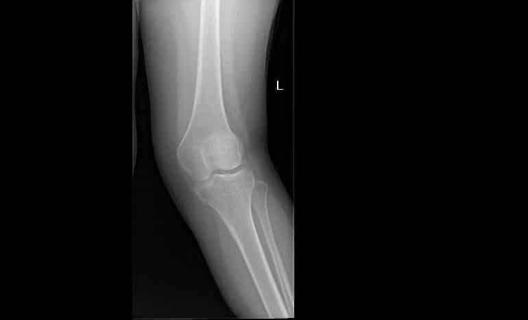
أسهم بفضل الله فريق طبي في قسم جراحة العظام والتخدير والعمليات بمستشفى الملك خالد ومركز الأمير سلطان للخدمات الصحية بالخرج في إنهاء معاناة فتاة من تشوه في الركبة اليسرى واعوجاج خارجي (ركبة فحجاء) وعرج بالمشي.
وقرر الفريق المعالج بعد عمل الأشعة المطلوبة والفحوصات اللازمة ووضع خطة علاجية إجراء عملية باستخدام تخدير نخاعي (نصفي) وتم إصلاح اعوجاج عظمة الفخذ وعظمة الساق والتشوه بالركبة اليسرى، وبفضل من الله تكللت العملية بالنجاح ، حيث تعتبر هذه العملية من العمليات التخصصية المتقدمة في جراحة العظام.
